Pesquisadores quebram recorde mundial de comunicação quântica
Pesquisadores em Pequim estabeleceram um novo recorde mundial de comunicação quântica segura e direta (QSDC) de 102,2 km, e bem maior que ...
Pesquisadores em Pequim estabeleceram um novo recorde mundial de comunicação quântica segura e direta (QSDC) de 102,2 km, e bem maior que ...
Um estudo realizado por pesquisadores da Medical College of Wisconsin, nos Estados Unidos, trouxe um alerta para qualquer um que ...
Oito em cada dez médicos que atendem a clientes de planos de saúde afirmam já ter enfrentado restrições das operadoras ao prescreverem ...
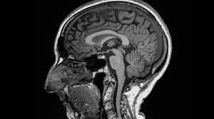
Pegar covid-19 pode causar alterações no cérebro, sugere um estudo publicado na revista científica Nature. Cientistas encontraram diferenças significativas em exames ...
Uma mulher, considerada mestiça, foi a terceira pessoa a ser curada do HIV usando um novo método de transplante envolvendo ...
Publicada a Medida Provisória (MP), nº 921, de 7 de fevereiro, que abre crédito extraordinário, em favor do Ministério da ...
© 2022 Brasil 060 - Todos os Direitos Reservados.
© 2022 Brasil 060 - Todos os Direitos Reservados.